Question 1:
A 75-year-old man presented with a mildly pruritic, well-demarcated pink plaque with central ulceration on the right mid back.
Click this image to view the virtual slide:
Figure 1: 40X

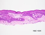
Figure 2: 100X

Figure 3: Adipophilin 100X
Figure 4: CK7 100X

Figure 5: BER-EP4 100X
Which of the following is the best diagnosis?