Question 1:
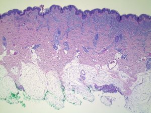
A healthy 21-month-old male infant presented with a tan-brown nodular lesion on his left anterior chest wall and a hairless, brown patch on his scalp. A surgical excision was performed.
Click here to view the virtual slide.
Figure 1: H&E 20X
Figure 2: H&E 40X
Figure 3: H&E 200X
Figure 4: H&E 400X

Which of the following is the best diagnosis?